相信看过电视剧《西游记》的客官都知道,几乎剧中的每个妖怪都想吃唐僧肉以求长生不老。古代帝王被称为万岁,也无一不希望自己永生不死,江山代代相传,始皇帝曾派三千童男女东渡寻求仙药以求长生。死亡是人类永恒的话题,司马迁曾说“人固有一死”,的确,每个人打出生之日起便注定是必死之身,生死乃天道循环。细胞生命的终结亦是细胞死亡,细胞死亡是生命现象不可逆停止及生命的终结。
随着医学生物领域研究的日新月异,除了坏死以外,科学家们陆续发现了其他细胞死亡形式,大致可分为程序性细胞死亡包括细胞凋亡、细胞焦亡和自噬,以及非程序性细胞死亡包括副凋亡、细胞有丝分裂灾难和胀亡等。2012年,Dixon等正式提出并命名了一种区别于细胞凋亡、细胞焦亡、细胞自噬的新的细胞死亡形式:铁死亡!
1 铁死亡相关特征
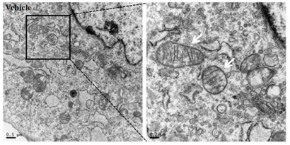
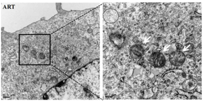
形态学特征:超微结构显示,铁死亡时细胞膜断裂和出泡,线粒体萎缩、线粒体脊减少甚至消失、膜密度增加、细胞核形态正常,但缺乏染色质凝集;电镜下观察到胞内线粒体变小、膜密度增高。
生物学特征:活性氧、铁离子聚集,激活丝裂原活化蛋白激酶(MAPK)系统,胱氨酸摄取减少、谷胱甘肽耗竭,抑制ystemXc-;
基因水平:主要受到核糖体L8(RPL8)、铁反应元件结合蛋白(IREB2),ATP合成酶F0复合体亚基C3(ATP5G3)、三四肽重复结构域35(TTC35)、柠檬酸合成酶(CS)、酰基辅酶A合成酶家族成员2(ACSF2)以及受代谢、储存基因TFRC、ISCU、FTH1、FTL、SLC11A2的调节。
铁死亡的实质是细胞内脂质氧化物代谢障碍,在铁离子催化作用下代谢发生异常,当细胞抗氧化能力减弱,脂质活性氧堆积,使细胞内氧化还原失衡,诱导细胞死亡。
2 铁死亡部分机制
抑制GPX4诱导铁死亡:GPX4 能降解小分子过氧化物和某些脂质过氧化物,抑制脂质过氧化。研究发现,若细胞中 GPX4 表达下调则会对铁死亡更敏感;相反,若上调 GPX4 的表达,则会产生对铁死亡的耐受。因此,将GPX4抑制后将诱导细胞发生铁死亡。
抑制胱氨酸谷氨酸转运受体 (systemXC-)诱导铁死亡:通过systemXC-,谷氨酸与胱氨酸以1:1比例交换,因此,谷氨酸的水平会影响到systemXC- 的功能。细胞外高浓度的谷氨酸会抑制systemXC-从而诱导铁死亡。敲除systemXC-的小鼠由于细胞外谷氨酸水平减少,可以防止神经毒性损伤。
p53介导铁死亡:p53是一种抑癌基因,通过下调systemXC-组分SLC7A11的表达抑制细胞对胱氨酸的摄取,导致谷胱甘肽过氧化物酶活性降低,削减细胞抗氧化能力,增强细胞对铁死亡的敏感性。同时,研究发现,在人肿瘤细胞中SLC7A11过度表达,这种过表达能够抑制活性氧诱导的“铁死亡”,同时削弱p53 3KR介导的对肿瘤生长的抑制作用。

铁死亡机制
3 检测指标
铁水平检测:可以使用PGSK探针,流式细胞术或共聚焦显微镜检测细胞内铁含量的细胞膜透性染料;或者使用Iron Assay Kit检测细胞、组织中的铁水平;

活性氧水平:细胞内活性氧和脂质活性氧通过流式细胞术使用DCFH-DA和C11-BODIPY 荧光探针检测;
qRT-PCR/WB检测:检测与铁死亡相关的蛋白表达,如PTGS2、NOX1、FTH1、COX2、GPX4、ACSL4等,其中COX2、ACSL4、PTGS2、NOX1在铁死亡细胞中表达上调,GPX4、FTH1在铁死亡细胞中表达下调;

透射电镜直接观察细胞形态;

线粒体观察:向细胞内转染LifeAct-GFP荧光蛋白,一段时间后用有丝分裂追踪器观察线粒体形态。

4 铁死亡与疾病的关系
4.1 铁死亡与肿瘤
铁死亡在有关肿瘤的研究中成为近几年的热点之一。通过提高erastin衍生物的溶解度、分离度以及效价,其中的某些衍生物在异种移植肿瘤中已经初见成效。纳米颗粒诱导铁死亡也在异种移植研究中得到了证实。肿瘤抑癌基因p53能抑制 SLC7A11(systemXC-的组成部分),在某些情况下也能够诱导铁死亡的发生;核转录因子Nrf2能抑制肝细胞癌中铁死亡的发生;抑制Nrf2的表达能增强细胞铁死亡。
4.2 铁死亡与帕金森
最近研究证明,铁死亡很有可能是引起PD神经退行性变细胞死亡的通路之一,铁是治疗PD的有效靶点。在细胞和MPTP诱导的PD小鼠模型中运用铁螯合剂(去铁酮),能减少氧化应激,增强多巴胺可利用性,从而改善现有的运动症状和减少运动功能的退化。早期阶段的PD患者中,应用去铁酮治疗可减缓运动缺陷的进展,减少现有的运动症状。在MPTP治疗前24小时给小鼠注射铁死亡抑制剂ferrostatin-1可显著挽救行为障碍和神经元丢失,这表明常见的PD毒素在动物模型中引起神经退行性变的机制可能是铁死亡。
5 结语
基础研究中经常涉及到对多种细胞死亡方式的研究,如细胞自噬、凋亡、焦亡等。细胞铁死亡是最近几年才被发现的一种细胞死亡方式,目前对它的形态学、生物学、机制通路有了部分了解,但铁死亡过程涉及多种机制,受到信号通路的精密调控,铁死亡与疾病的发生有何种联系,是否与其他细胞死亡方式联合介导疾病的进展,因此,进一步深入研究铁死亡的作用机理,研究其在不同疾病类型中的作用,对寻找相关疾病的治疗靶点、靶向药物的研发具有重要意义。
拓普生物致力于为生命科学研究和医学临床研究提供一站式专业服务。涉及领域包动物建模,细胞凋亡,铁死亡,细胞表型分析和胞内细胞因子分析,细胞周期,外泌体研究,肿瘤标志物筛选等研究热点,在深圳西丽建有3300平方的研发中心和300平方的动物实验中心,承接各类技术服务,欢迎垂询。
关注我们!
