9 年
手机商铺
公司新闻/正文
2046 人阅读发布时间:2022-12-20 17:54
围产期窒息所致缺氧缺血性脑病(HIE)为新生儿期危害最大的常见病之一,常引起新生儿死亡和后期的神经系统发育障碍,现阶段对缺氧缺血性脑损伤尚无根本性的防治措施。
HIBD的发病原因及发病机制较为复杂;为了对该领域进一步深入研究,模拟新生儿分娩前后窒息的经过,建立缺氧缺血性脑损伤(HIBD)实验动物模型来进行相关研究已被许多人采用。
缺氧缺血性脑损伤建模方法为:
1. 缺血部分:将新生鼠颈部常规消毒,颈正中作一切口。对HIBD组,切开皮肤后用血管钳分离颈总动脉后用无创缝合线双重结扎横断左颈总动脉,检查断流成功后缝合切口;
2. 缺氧部分:放入37℃恒温的密闭缺氧箱内,向缺氧箱内通含 8%氧气和 92%氮气的混合气体(气流量 0.5L/ min,温度为 37℃,湿度为 70% ±5%),缺氧1小时;缺氧后回笼;
3. 缺氧后回母鼠身边继续哺乳喂养或安排人工喂养存活。
模型验证:
1. 传统方法:划分时间点取材进行TTC染色, HIBD损伤后 72 小时的梗塞区域范围;

图1 TTC 染色[1]
2. 行为学检测:
如水迷宫:通过记录测试小鼠在每个象限中花费的时间、在训练的平台位置上的经过次数和在未训练的象限中的类似位置所花费的时间进行比较来评估探索试验中测试小鼠的学习和记忆能力;

图2 水迷宫检测[2]
矿场实验-利用小鼠的天性,对其紧张度和探索性行为进行判断,系统评估小鼠的探索能力、基本运动能力以及焦虑行为。如果小鼠更倾向于在旷场试验箱中间运动,解读为抗焦虑行为,反之则为焦虑行为。
3. 病理染色
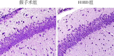
可选择HE染色:
造模后24 h,新生大鼠损伤侧海马CA1区神经细胞形态学变化 HE染色,假手术组神经细胞排列整齐,形态规则;HIBD组神经细胞排列疏松紊乱。
图3 HE染色[3]
可选择尼氏染色:正常动物尼氏小体排列整齐,数量多,无空隙为完好;HIBD模型动物尼氏小体数量少,且稀松不整齐,空隙很大为损伤。
脑瘫不及时的治疗,其行为将会受到阻碍,大量实验和临床资料表明,脑的边缘训练特别是海马区受损的时候,可引起患儿的情绪异常,患儿常表现为好哭,任性,固执,偏执,脾气古怪,情感脆弱,易于激动,有的情感不稳定等手足蠕动的患者较为多些。
而转化为动物实验,建立HIBD模型、应用一侧颈总动脉结合缺氧的方法制作新生乳鼠缺血缺氧脑损伤动物模型,观察其行为学、学习记忆功能及脑组织病理变化,探讨新生乳鼠缺血模型的评价方法。亦可在该模型基础上建立基因组测序、药物治疗、干细胞治疗研究、益生菌及肠道菌群治疗研究等。
图片来源:
[1] Zeng W, Wang Y, Xi Y, Wei G, Ju R. Bone marrow mesenchymal stem cells overexpressing hepatocyte growth factor ameliorate hypoxic-ischemic brain damage in neonatal rats. Transl Neurosci. 2021 Dec 17;12(1):561-572. doi: 10.1515/tnsci-2020-0204. PMID: 35003786; PMCID: PMC8684041.
[2] He X, Zhang T, Zeng Y, Pei P, Liu Y, Jia W, Zhao H, Bi M, Wang S. Sodium butyrate mediates histone crotonylation and alleviated neonatal rats hypoxic-ischemic brain injury through gut-brain axis. Front Microbiol. 2022 Oct 20;13:993146. doi: 10.3389/fmicb.2022.993146. PMID: 36338029; PMCID: PMC9631217.
[3] Zhang XY, Liu CM, Ma YH, Meng N, Jiang JY, Yu XH, Wang XL. TXNIP/Trx-1/GPX4通路促进新生大鼠缺氧缺血后海马神经元铁死亡的作用机制 [The TXNIP/Trx-1/GPX4 pathway promotes ferroptosis in hippocampal neurons after hypoxia-ischemia in neonatal rats]. Zhongguo Dang Dai Er Ke Za Zhi. 2022 Sept 15;24(9):1053-1060. Chinese. doi: 10.7499/j.issn.1008-8830.2205149. PMID: 36111726; PMCID: PMC9495243.