9 年
手机商铺
公司新闻/正文
4453 人阅读发布时间:2023-02-17 17:19
一心脑血管疾病动物模型
(一)经典模型
1.心肌梗死模型(MI,myocardial infarction)
2.大脑中动脉阻塞模型(MCAO,middle cerebral artery occlusion)
3.主动脉弓缩窄模型(transverse aoritc constriction)
4.动脉粥样硬化模型(atherosclerosis)
(二)心脑血管动物模型其他疾病模型
1.腹主动脉血管移植模型(AAVT,abdominal aortic vascular transplantation)
2.高脂血症(HLP,hyperlipidaemia)
3.动静脉内瘘模型(arteriovenous)等
二心肌梗死模型
心肌梗死(myocardial infarction,MI)是一种严重的心血管疾病,由于冠状动脉血供急剧减少或中断,使心肌持续性缺血缺氧以致坏死,损害心功能且可能导致心律失常、休克以及心力衰竭等严重后果。
目前建立心肌梗死动物模型的方法有多种,包括:冠脉结扎法、药物法、栓塞法、左室电灼法、液氮冷冻法等[1,2]。其中药物法主要通过舌下静脉注射垂体后叶素诱发血管痉挛促使心肌缺血梗死;后三种方法可直接形成冠脉闭塞,但对辅助设备要求高,操作难度大;冠状动脉结扎法操作成熟简便,梗阻部位明确易于判断,既符合心梗发生的实际病理过程,又便于开展实验研究,故主要采用此法建立心梗模型。
造模方法:冠状动脉前降支结扎
观察指标:心脏B超检测 EF及左心室舒张末内径(LVEDD)和左室收缩末内径(LVESD);Masson染色或天狼星红染色观察心肌组织纤维化情况,伊文思蓝-TTC染色观察梗死面积;HE染色观察病理;ELISA检测血清中的TNF-α、IL-1β及IL-6等炎症因子。

三动脉粥样硬化模型
动脉粥样硬化(AS)是引起多种心血管疾病模型的病理生理基础和主要原因,表现为大中型动脉中缓慢脂质堆积形成斑块,并伴有慢性炎症反应。根据动物脂质代谢情况、操作简易程度,选择转基因小鼠作为建立动脉粥样硬化模型的实验动物较为理想。在建模过程中,可以考虑给予高脂高胆固醇饲料促进脂质吸收,形成炎症反应等影响动脉粥样硬化形成的各种因素,寻求一种快速、方便、有效的模型建立方法。
观察指标:体重,血脂四项,全主动脉大体油红O染色,主动脉病理学检查等
部分实验结果:

四脑梗模型
脑血管疾病目前已成为我国第一大致残和第二大致死的疾病,全国每年 250 万新发脑血管病例,其中脑梗塞高达 60%,因此,深入研究,减少后遗症,已成为基础医学和临床医学的一个重要研究课题。脑梗后,内源性炎症过程立即上调,导致局部神经炎症和脑组织破坏加剧。最早在脑缺血后24小时触发先天性免疫反应,随后激活适应性免疫。这些免疫细胞共同产生许多炎症介质,即细胞因子、生长因子和趋化因子。
造模方法:线栓法(插线法)
观察指标:TTC染色,Longa 神经行为学评分5分制(1-3分,模型成功);病理染色,ELISA检测血清中的TNF-α、IL-1β及IL-6等炎症因子。
神经学行为评分(评分标准为5分制)
小鼠自由活动时身体会明显向其右侧方向侧重倾斜,且会间断性甚至持续右向侧跌倒。(3分)灵赋拓普生物动物行为学平台可进行大小鼠行为学测试,并有专业博士进行现场指导。

五其他模型
主动脉弓缩窄模型(transverse aortic constriction, TAC)最早由Rockman等于1991年正式建立,是慢性心室肥大最常用的疾病模型,用于模拟高血压或室内压增高而引起的肥厚性心肌病、心衰。TAC术后,主动脉弓部定量的缩窄引起主动脉血流受阻,左心室压力负荷增加,诱发了左心室的心室肥厚,早期以向心性肥厚为主,心功能可有效代偿,随着时间的延续,进行性发展为心腔的扩张,最终发展为心力衰竭。
根据动物品系、基因型和手术缩窄程度的不同,心室肥厚和心衰的进程不同。缩窄针通常由针头制成。一般来说,使用27G的针头(中度缩窄),TAC术后2周可发展为显著性的心室肥厚,4-6周发展为心力衰竭;使用28G的针头(重度缩窄),TAC术后1周可发展为显著性的心室肥厚,2-3周发展为心力衰竭。
造模方法:
实验鼠适应性饲养1周。术前禁食12 h(不禁水)。将实验鼠放进连接好的麻醉机诱导箱进行麻醉。实验鼠颈部至前胸手术区域常规备皮,碘伏消毒术区。颈、胸部正中开胸,钝性分离肌肉,撑开器撑开切口,剥离胸腺、暴露主动脉弓部。
沿主动脉弓寻找无名动脉、左颈总动脉、左锁骨下动脉,在右无名动脉与左颈总动脉两者之间穿线,同时平行于主动脉弓上方放置缩窄用的针头(根据实验目的及实验动物基因型的不同,综合考虑并选择缩窄的程度)并打结,将线扎紧后缓缓抽出用于缩窄的针头,即在主动脉弓部形成定量缩窄。
关闭胸腔,将颈部和胸部的皮肤缝合,碘伏消毒。继续通气15 min。待大鼠恢复自主呼吸后,解除呼吸机供气。术后连续3天肌肉注射青霉素杀菌抗感染。
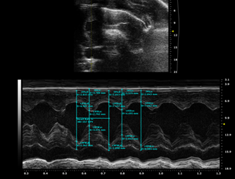
模型评价

图注:TAC造模前心电图

图注:TAC模型心电图

图注:模型前正常SD大鼠B超图

图注:TAC模型4周后心电图
以上是本期知识分享,更多服务咨询请致电:0755-86325431. 灵赋拓普竭诚为您服务~