9 年
手机商铺
公司新闻/正文
1288 人阅读发布时间:2024-11-20 09:33

糖尿病肾病模型大探索
糖尿病会引发多种微血管并发症,包括糖尿病视网膜病变、糖尿病足、糖尿病肾病和糖尿病周围神经病变等 [1,2]。糖尿病肾病(Diabetic kidney disease,DKD)是糖尿病晚期最严重的微血管并发症之一,是一种慢性代谢紊乱高血糖引起肾脏各种细胞类型的功能障碍,最终导致进行性肾功能衰竭[3,4]。DKD患者临床主要表现为由高血糖引起的持续性蛋白尿及肾功能进行性下降,病理改变包括系膜基质增生、细胞外基质过度沉积、肾小球硬化及在高血糖的持续作用下导致的肾小管间质纤维化[5]。我国是2 型糖尿病(T2DM)迅速增长的主要国家,在我国 T2DM患者中,约有 21.8% 的人发展为 DKD,DKD已然成为目前医学界研究的热点之一[6]。
糖尿病并发症动物模型联盟提出了理想的糖尿病肾病小鼠模型的 3 个标准:高血糖情况下进行性肾功能不全、蛋白尿及特征性病理改变 (包括电镜下基底膜增厚、系膜基质扩张或结节性系膜硬化、小管间质纤维化和小动脉透明质病变 ) [7]。一个理想的疾病模型对于探索疾病的发病机制具有重要作用,目前根据造模的原理不同,糖尿病肾病动物模型可初步分为自发型、诱导型等。下面我们就来了解一下较常用的品系动物模型建立方法和表型。
SD 大鼠模型
6 周龄的雄性 SD 大鼠是构建糖尿病肾病模型的常用实验动物。先通过高糖高脂饲料饲养 8 周,之后腹腔注射 STZ 35mg/kg。72 小时后测量血糖,17 天后测量血糖和尿蛋白。表型分析表明,与对照组相比,模型组的血糖和尿蛋白显著增加。这一模型为研究糖尿病肾病的发展提供了基础,有助于深入了解高血糖对肾脏功能的影响及相关的病理变化。

图一
表型分析:注射STZ3天后,与对Control组相比,Model组血糖(图1A)显著增加,P<0.001。注射STZ17天后,与对Control组相比,Model组血糖(图1A,P<0.001)和尿蛋白(图1B,P<0.05)显著增加。
SD 大鼠模型的优点在于其饲养条件相对简单,操作难度适中,能够较好地模拟人类糖尿病肾病的某些特征。然而,它也存在一定的局限性,比如可能无法完全反映复杂的人体生理环境和个体差异。但在当前的研究中,仍然是一种有价值的工具,为探索糖尿病肾病的奥秘贡献了力量。
db/db 小鼠模型
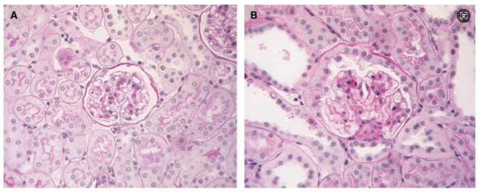
db/db 小鼠在 2 型糖尿病和肥胖症研究中应用广泛,也是研究糖尿病肾病肾脏早期形态学变化的良好模型。2 月龄时,db/db 小鼠体重比对照小鼠增加 50%,4 月龄时血糖水平从正常到高血糖不等。8 周龄和 16 周龄的 db/db 小鼠,随机血糖和尿白蛋白/肌酐比(UACR)水平上升,血清肌酐和 BUN 水平呈上升趋势,尿 KIM-1 也呈上升趋势。


图二

图三

图四
C57BL/6J 小鼠模型
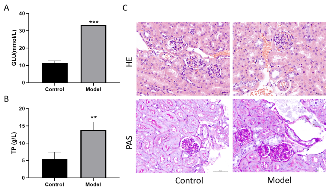
6 周龄的 C57BL/6J 小鼠可用于构建糖尿病肾病模型。通过腹腔注射 STZ 50mg/kg,连续注射 5 天,8 周后进行血糖、尿蛋白和肾组织病理检测。结果显示,与对照组相比,模型组血糖和尿蛋白显著增加。病理结果表明,模型组肾组织结构大体正常,但部分肾小球系膜轻度增生,间质少量小动脉轻度透明质病变。


图五
表型分析:8周后与对Control组相比,Model组血糖(图5A,P<0.001)和尿蛋白(图5B,P<0.01)显著增加。病理结果(图5C)显示Control组肾组织结构大体正常,肾小球及肾间质未见明确异常;肾小球系膜细胞及基质未见明显增生,基底膜未见明显增厚,间质小动脉未见明显透明质病变;Model组肾组织结构大体正常,少量肾小管上皮细胞轻度水肿,部分肾小球系膜轻度增生,间质少量小动脉轻度透明质病变,基底膜未见明显增厚。
参考文献
[1] Tinajero M G, Malik V S. An Update on the Epidemiology of Type 2 Diabetes: A Global Perspective[J].Endocrinology and metabolism clinics of North America, 2021,50(3):337-355.
[2] Yu M G, Gordin D, Fu J, et al. Protective Factors and the Pathogenesis of Complications in Diabetes. Endocr Rev. 2024,45(2):227-252.
[3] Elendu C, John Okah M, Fiemotongha KD, et al. Comprehensive advancements in the prevention and treatment of diabetic nephropathy: A narrative review[J]. Medicine
(Baltimore), 2023, 102(40): e35397.
[4] Talukdar A, Basumatary M. Rodent models to study type 1 and type 2 diabetes induced human diabetic nephropathy[J]. Mol Biol Rep, 2023, 50(9): 7759-7782.
[5] Mohandes S, Doke T, Hu H, et al. Molecular pathways that drive diabetic kidney disease. J Clin Invest. 2023;133(4):e165654.
[6] 张睿敏,董哲毅,李爽,等.2型糖尿病肾病中医证型,临床表型及肾脏病理相关性研究进展[J].中国中西医结合杂志, 2024(4).
[7] BREYER MD, BöTTINGER E, BROSIUS FC, 3RD, et al. Mouse models of diabetic nephropathy. Am Soc Nephrol. 2005;16(1):27-45.
[8] Chow F, Ozols E, Nikolic-Paterson D J, et al.Macrophages in mouse type 2 diabetic nephropathy: correlation with diabetic state and progressive renal injury.[J].Kidney International, 2004, 65( 1):116-128.
[9] Wenjing, Wu., Wenbiao, Wang., Liying, Liang., Junzhe, Chen., Biao, Wei., Xiao-Ru, Huang., Xiaoqin, Wang., Xueqing, Yu.,Hui-Yao,Lan.(2022).Treatmentwith quercetin inhibits SARS-CoV-2 N protein-induced acute kidney injury by blocking Smad3-dependent G1 cell-cycle arrest. Mol Ther, 31(2), 0.