9 年
手机商铺
公司新闻/正文
293 人阅读发布时间:2025-06-12 11:48

在肿瘤研究领域,动物模型是连接基础科学与临床转化的关键纽带。本文结合实验操作细节与科研应用场景,带您深入了解新西兰兔肾癌模型的全流程构建及多维度应用价值。
起源:由 Shope 病毒诱导的兔源性乳头状瘤转化而来,经传代后形成可移植性鳞状细胞癌。
优势:提供稳定肿瘤来源,适合模拟实体瘤生长特征。
通过外科手术将 VX2 肿瘤组织块直接植入新西兰兔肾脏,复现人类肾癌的原位生长、局部侵袭及潜在转移过程,为机制研究与疗法开发提供活体模型。
传代培养
移植部位:新西兰兔大腿肌肉或背部皮下。
取材标准:待肿瘤体积生长至1–2 cm³ 时,无菌条件下取出。
精细化切割
组织块规格:切成1–2 mm³ 的均匀小块,保存于生理盐水中备用。
术前准备
麻醉方式:对实验兔实施全身麻醉。
消毒规范:腹部区域备皮并严格消毒,降低术后感染风险。
手术操作
切口选择:经腹中线切口暴露单侧肾脏(左 / 右肾均可)。
植入技术:使用穿刺针或显微器械在肾实质内制造微小腔隙,植入肿瘤组织块后轻压止血。
术后管理
缝合要求:逐层缝合腹腔,确保伤口闭合严密。
健康监护:术后给予抗生素预防感染,每日观察饮食、活动状态。
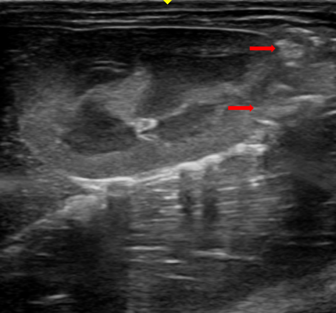
影像学动态监测
检测手段:术后定期通过超声观察肿瘤生长,典型图像如下(术后 7 天超声图):

[术后 7 天超声追踪图]
注:红色箭头标记为肿瘤占位形态
病理学定性分析
验证方法:通过 HE 染色观察肿瘤细胞形态,确认其鳞状细胞癌特征。

抗肿瘤药物研发管线
应用方向:化疗药物(如顺铂)、靶向药物(如 VEGF 抑制剂)、免疫治疗药物(如 PD-1 抗体)的疗效筛选与剂量优化。
影像诊断技术革新
研究场景:超声造影剂增强效果评估、CT/MRI 成像序列优化,提升肾癌早期诊断灵敏度。
肿瘤生物学机制探索
研究方向:肿瘤微环境中免疫细胞浸润规律、血管生成调控机制、转移灶形成的分子路径。
组织学差异:VX2 为鳞状细胞癌,与人类肾透明细胞癌(占肾癌70% 以上)的分子特征存在差异,需结合临床样本验证结论。
技术门槛:手术需熟练掌握显微外科操作,建议预实验练习以控制出血(肾实质血供丰富)和感染风险。
伦理考量:需遵循 3R 原则(替代、减少、优化),通过麻醉镇痛、缩短观察周期等方式减少动物痛苦。
无菌控制:手术器械需高压灭菌,植入过程避免生理盐水污染。
样本均一性:肿瘤组织块切割需使用显微刀片,确保体积误差<±0.1 mm³。
构建一个高质量、一致性好的新西兰兔VX2肾癌模型,需要专业的实验动物技术平台、经验丰富的外科团队以及严格的质量管理体系作为支撑。我们深知:
模型均一性至关重要: 严格控制肿瘤块大小(1-2 mm³) 和植入操作,是保证实验结果可比性的前提。
动物福利与伦理是底线: 所有操作严格遵循动物实验伦理规范,配备专业兽医护理,术后密切监测动物状态(体重、活动度),及时干预并发症(如腹水)。
无菌操作是生命线: 贯穿模型构建全程的无菌技术,是避免感染、确保模型成功率和动物健康的核心。
专业、稳定的模型构建服务,能为您的肾癌研究项目节省宝贵时间,降低技术风险,提升数据可靠性。
如果您正在寻找值得信赖的新西兰兔VX2肾癌模型构建服务,以支持您的药物研发、影像技术验证或机制研究,[灵赋拓普生物] 成熟的平台和专业团队已准备就绪,为您提供高质量的解决方案。欢迎联系我们,探讨您的具体需求。
作者 | 朱 超
排版 | 翁小云
统筹制作 | 深圳灵赋拓普生物科技有限公司
如 有 侵 权 请 告 知 删 除
转 载 请 注 明 以 上 信 息
关于灵赋拓普
深圳灵赋拓普生物科技有限公司(简称灵赋拓普)成立于2015年,是一家专注动物科研,服务临床前研究与评价的创新型CRO企业。公司以动物模型为核心,同时开展细胞、病理、蛋白、分子、生化、行为学等一站式服务,赋能生命科学和生物医药研究。灵赋拓普在深圳南山、光明、坪山及广州拥有研发基地及实验动物中心,提供医疗器械评价、大小动物模型开发、药物筛选与评价、动物饲养等临床前CRO服务。先后获得国家高新技术企业、专精特新企业、质量管理体系等荣誉认证。公司具有核心研发和专业技术团队,致力于成为全国动物科研服务领跑品牌,实现“愿天下没有难治的疾病”的美好愿景。